운동 중이거나 길을 걷다가 한순간에 ‘삐끗!’ 하고 발목을 접질렀던 경험 누구나 한 번쯤 있으실 겁니다. 대부분 단순히 ‘금방 나아지겠지’ 하고 방치하지만, 잘못된 대처로 인해 만성 발목 통증이나 인대 손상으로 이어질 수 있습니다. 이 글에서는 발목을 접질렀을 때 나타나는 대표 증상부터 응급처치 방법, 병원 치료 시기, 재활운동법까지 전문의 관점에서 상세히 정리했습니다. 검색 노출을 높이기 위해 관련 키워드(발목염좌, 냉찜질, 인대손상, 물리치료, 회복운동)를 자연스럽게 배치했습니다.

1. 발목 접질렀을 때 나타나는 증상
발목을 접질렀을 때 가장 흔한 부상은 발목 염좌(sprain)입니다. 염좌는 인대가 늘어나거나 찢어지는 손상으로, 심한 경우 부분 파열 혹은 완전 파열로 발전할 수 있습니다.


(1) 초기 증상
- 통증: 발목 바깥쪽 혹은 안쪽에 날카로운 통증이 발생합니다.
- 부기: 손상 부위에 염증 반응이 일어나면서 1~2시간 내 붓기가 생깁니다.
- 멍(피하출혈): 시간이 지나면서 피부색이 보라색, 푸른색으로 변합니다.
- 가동범위 제한: 발목을 움직일 때 심한 통증으로 인해 걷기 힘들거나 체중을 실을 수 없습니다.
(2) 손상 정도별 구분
- 1단계(경미): 인대가 약간 늘어난 상태. 통증은 있으나 일상 보행 가능.
- 2단계(중등도): 인대 일부가 손상되어 부종·멍·통증이 뚜렷.
- 3단계(중증): 인대가 완전히 파열되어 걷기 불가능하며 병원 진료 필수.
중요 포인트: 통증이 심하거나 붓기가 1~2일 이상 지속될 경우, 단순 타박상이 아니라 인대 손상일 가능성이 높습니다. MRI 촬영을 통해 정확한 진단이 필요합니다.
2. 응급처치 방법 (R.I.C.E 요법)
발목을 접질렀을 때는 빠른 응급처치가 회복 속도에 결정적인 영향을 줍니다. 가장 기본적이면서 효과적인 방법이 바로 R.I.C.E 요법입니다.

(1) Rest (안정)
- 손상 부위에 체중을 실지 않고, 즉시 휴식합니다.
- 통증이 있는 상태에서 걷거나 뛰면 인대 손상이 심해질 수 있습니다.
- 필요하다면 목발을 이용해 하중을 최소화하세요.
(2) Ice (냉찜질)
- 부기와 염증을 줄이기 위해 접질린 즉시 얼음찜질을 합니다.
- 얼음팩이나 냉수에 젖은 수건을 20분씩 하루 4~6회 적용합니다.
- 주의: 직접 피부에 얼음을 대면 동상 위험이 있으므로 반드시 천을 덮어야 합니다.
(3) Compression (압박)
- 탄력 붕대를 이용해 발목을 8자 형태로 감싸줍니다.
- 너무 세게 감으면 혈류가 막혀 통증이 악화될 수 있으니 주의하세요.
- 압박은 부기를 줄이고 관절 안정성 유지에 도움을 줍니다.
(4) Elevation (거상)
- 베개나 쿠션 위에 다리를 올려 심장보다 높게 유지합니다.
- 혈액순환을 개선하고 부기를 빠르게 빼줍니다.
응급처치 요약: 24시간 이내 냉찜질, 이후 온찜질은 48시간 이후부터 시작하세요. 통증이 완화되면 가벼운 움직임으로 관절 강직 예방을 시작합니다.
3. 병원 치료 및 검사
발목을 접질린 후 2~3일이 지나도 통증이 계속된다면 반드시 정형외과나 재활의학과 진료를 받아야 합니다.

(1) 진단 방법
- X-ray(엑스레이): 뼈 골절 여부 확인.
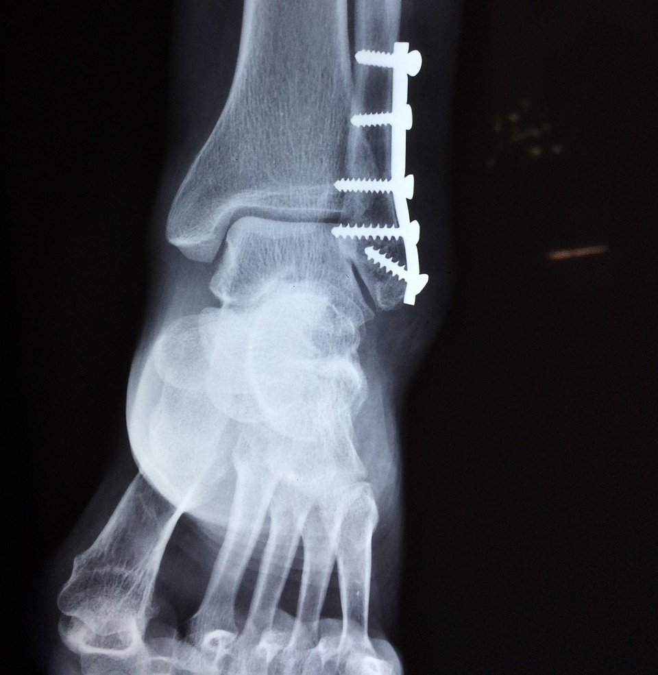
- MRI(자기공명영상): 인대나 연골 손상 확인에 필수.
- 초음파 검사: 부기나 출혈 상태, 인대 두께 측정 가능.
(2) 치료 방법
- 보존적 치료: 1~2단계 염좌는 냉찜질, 압박붕대, 휴식으로 회복 가능.
- 약물치료: 염증 및 통증 완화를 위해 소염진통제(NSAIDs) 사용.
- 물리치료: 온열치료, 초음파 치료, 전기자극(EMS)을 통해 인대 회복 촉진.
- 보조기 착용: 발목 보호대를 1~2주 착용하면 불안정성 예방에 효과적.
- 수술: 인대 완전파열, 반복 염좌, 관절 불안정증이 있을 때 고려.
(3) 실비 보험 적용
발목 MRI나 물리치료는 대부분 실손보험 청구 가능 항목입니다. 단, 병원마다 진료비 편차가 크므로 치료 전 보험사 보상 기준 확인이 필요합니다.
4. 발목 회복을 위한 재활 및 운동
급성 통증이 가라앉은 뒤에는 반드시 회복운동(재활운동)을 진행해야 합니다. 운동을 너무 일찍 시작하면 재손상 위험이 있으니, 통증이 70% 이상 완화된 시점부터 천천히 시작하는 것이 좋습니다.


(1) 발목 가동성 운동
의자에 앉아 발끝으로 알파벳 A~Z를 그리듯 천천히 움직입니다. 관절의 유연성과 혈류 회복에 도움이 됩니다.
(2) 밴드 저항 운동
탄력 밴드를 발바닥에 걸고, 발을 안쪽·바깥쪽으로 밀어줍니다. 측면 인대 강화에 탁월하며, 재손상 예방 효과가 있습니다.
(3) 밸런스 운동
균형패드나 쿠션 위에서 한쪽 발로 10~20초 서있기를 반복합니다. 코어와 발목 안정성을 동시에 강화합니다.
(4) 종아리 스트레칭
벽을 짚고 한쪽 다리를 뒤로 빼서 종아리를 늘려줍니다. 발목의 긴장 완화 및 혈액순환 개선에 도움을 줍니다.
운동 시 유의사항: - 통증이 느껴질 때는 즉시 중단. - 무리하지 않고 천천히 강도를 높이는 것이 핵심. - 재활 중에는 반드시 발목 보호대 착용 권장.
결론: 발목을 접질렀을 때 꼭 기억해야 할 5가지
- 처음 24시간은 냉찜질 & 안정이 최우선이다.
- 2~3일이 지나도 부기·통증이 지속되면 병원 진료를 받아야 한다.
- 인대가 늘어난 염좌라도 방치하면 만성 발목 불안정증으로 발전할 수 있다.
- 회복 이후에도 꾸준한 밸런스 및 코어운동으로 재손상을 예방해야 한다.
- 재활 기간 동안은 하이힐, 축구, 등산 등 발목에 부담이 큰 활동은 피한다.
마무리 Tip:
발목을 한 번이라도 접질렀다면, 단순 타박상이 아니라 인대 손상 가능성을 의심해야 합니다. 초기에 제대로 치료하지 않으면 재발성 염좌로 이어져 만성 통증이 남을 수 있습니다. 정확한 진단과 꾸준한 재활이 빠른 회복과 재손상 예방의 핵심입니다.